Proton Therapy for Breast Cancer
Overview
Breast cancer is among the most common cancers in the United States and can develop in both women and men. Ongoing innovations and medical advancements in breast cancer treatment, such as proton therapy, offer hope to patients and families. Proton therapy for breast cancer delivers high doses of radiation directly to tumors, reducing recurrence rates and side effects for many breast cancer cases.
Benefits of Proton Therapy
Breast cancer occurs in a sensitive area of the body with several nearby organs. Proton therapy for breast cancer involves targeted proton beams that can deliver high doses of radiation to destroy cancerous cells. The precise treatment minimizes exposure to the heart, lungs, and healthy tissue near the breast.
Notable benefits of proton treatment for breast cancer:
- Proton therapy is a non-invasive treatment for breast cancer patients, including following lumpectomy or mastectomy
- Women and men treated with proton therapy for breast cancer may have increased tolerance for chemotherapy.
- Because proton beam therapy is a highly precise form of radiation therapy for breast cancer, it is sometimes used as a targeted therapy for breast cancer areas that have already been treated with radiation and may reduce long-term side effects to the heart.
- Proton therapy may also be used in select cases in which cancer has recurred following surgery or it has spread to other parts of the body.
- Proton treatment for breast cancer may reduce side effects, helping patients maintain their current quality of life during and after treatment.
- A patient’s hormone receptor status does not affect their candidacy for receiving proton therapy. This includes patients who are ER, PR positive or negative; Her2Neu positive or negative; triple positive, or triple negative.
Pencil-Beam Scanning
Only a few centers in the country offer an advanced technology called pencil-beam scanning – and Texas Center for Proton Therapy is one of them. Pencil-beam scanning is ideal for patients with tumors in sensitive areas, such as breast cancer, because it uses an ultra-fine proton beam with pencil-point precision to delicately apply the radiation to the sensitive area.

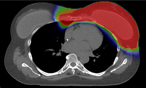
Proton Therapy

Conventional X-Ray Therapy
Red: High Radiation Dose |
Green: Intermediate Radiation Dose |
Blue: Low Radiation Dose
Your Initial Consultation
The first step to determine if you are a proton therapy candidate is to schedule an initial consultation. Your doctor can make a referral, or you can make an appointment yourself by calling +1 469-513-5500.
Prior to your visit, a member of Texas Center for Proton Therapy’s care team will call to discuss what to expect and bring. You will meet with a physician, who will determine if proton therapy is the right cancer treatment for you. If you qualify for treatment, you will get all the information you need to make your proton treatment as smooth as possible.
If you are traveling from out of town, the Patient Support Services staff can help you arrange travel and lodging. Learn more what to expect for your first appointment.
The CT Simulation
If you are a candidate for proton therapy treatment, you will receive a CT simulation. This process may happen on your initial consultation day or be scheduled for later, depending on your unique circumstances. Used for treatment planning, a CT simulation is an imaging process done before treatment to determine the exact location, shape, and size of the tumor.
The Treatment Process
Your physician and nursing staff will provide instructions for your first proton therapy treatment. Timing and duration varies depending on the patient and type of cancer. A typical cycle includes daily treatments, Monday through Friday, for six to eight weeks.
Breast cancer is the second-deadliest cancer among American women. Other than adopting a healthier lifestyle, early detection with regular mammograms remains the single most effective way for combating the disease. Steady declines in mortality among women since 1989 have been attributed to a combination of early detection and improvements in treatment.
Source: American Cancer Society, American Society of Clinical Oncology, National Brain Tumor Society, National Cancer Institute, and Texas Cancer Registry